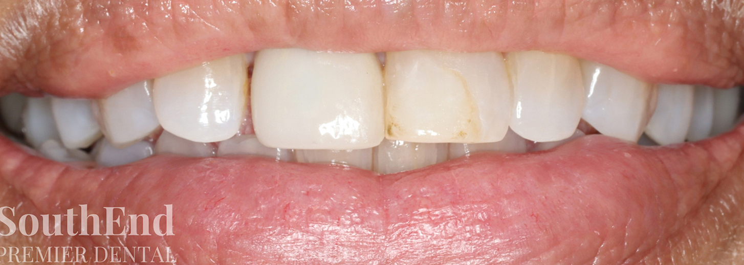
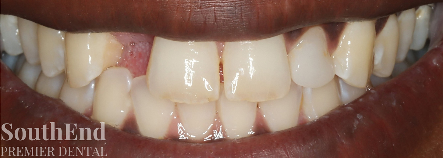
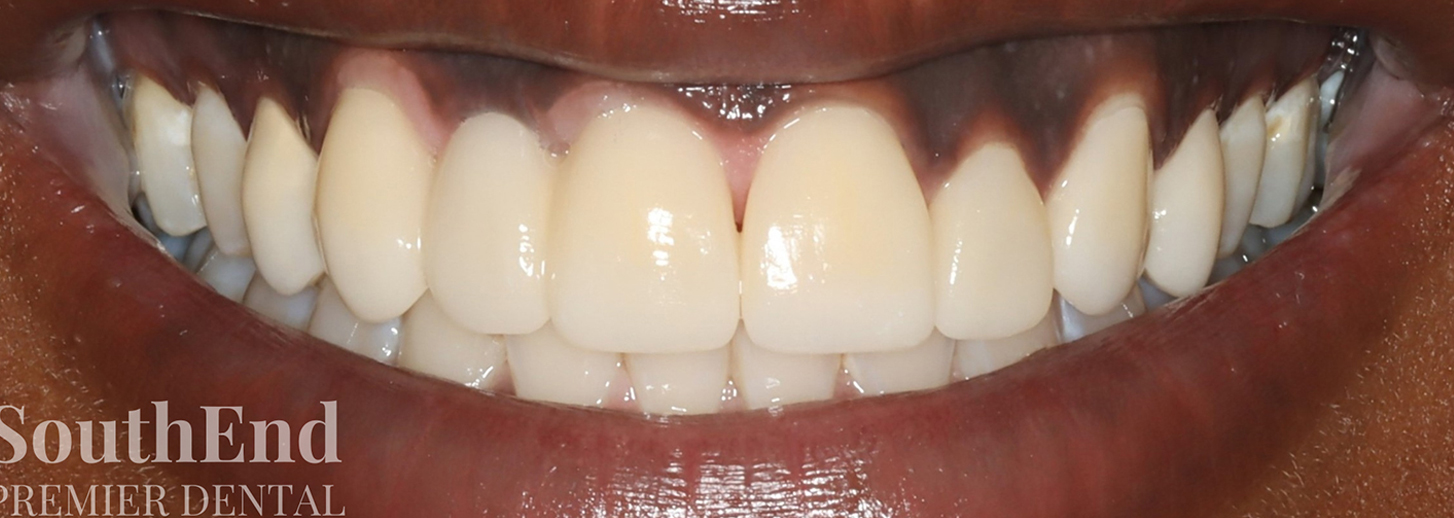
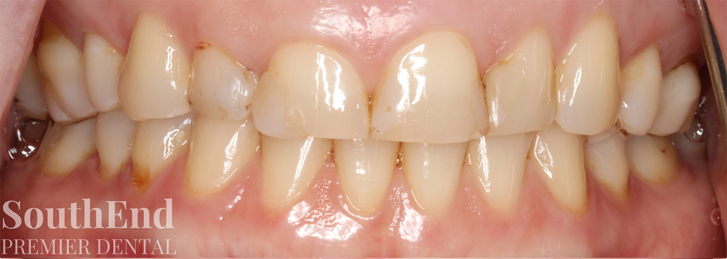
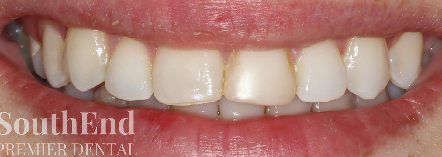
Smile Gallery
Explore our gallery to see the transformative results achieved at Southend Premier Dentistry. We take pride in delivering exceptional dental care and outstanding patient outcomes. Our Before and After Gallery showcases a variety of procedures, reflecting our commitment to precision, aesthetics, and patient satisfaction.
Your Dental Experts
Meet Our Doctors
Our team consists of highly skilled and compassionate dental professionals who are committed to making your visit comfortable and effective. With ongoing education and training, we stay updated with the latest advancements in dentistry.
5-star Google Reviews
Why People Love Southend Premier Dentistry
Olivia G.
Nely was the best!! She made me feel super comfortable and gave me needed advice on keeping my teeth clean. She also was patient in going over everything we did and answering questions.
Alexa E.
I had a wonderful experience at this dentist office! Dr.Vu and her assistant were very kind and answered all of my many questions! The crown placement was smooth and pain free. Highly recommend her or anyone else in this office!!
Zach O.
Freshly done crown, great experience with the process. Took their time with it and made sure I was comfortable throughout the whole process! Even walked me through how it was done. Great work and would recommend.
Kevin E.
I have been coming here for years and always have a pleasant experience with Karen. Best hygienist I’ve ever had
Jasmine L.
Wow! Had a wonderful experience! I truly appreciated the staff and the doctor. Answered all my questions and was very detailed. For someone with bad anxiety I am glad I found a dental office that fits my needs and standards
John O.
I have been going here for a few years now and I always have a good experience. Karen is the best dental hygienist I’ve ever had!
Al K.
My Experience at the SouthEnd Premiere Dental was amazing. I appreciate the customer service and especially the music selections.
Christian T.
Karen was wonderful! Staff always professional and the music is always a vibe.
Grace G.
Dr. Vu was so kind and good at my crown and fixing my veneer!
Alonzo W.
Always a great experience and they make sure you are comfortable throughout the process.
Our Office in Charlotte, NC
Located in the heart of Charlotte, Southend Premier Dentistry proudly serves patients from South End, Uptown, and Dilworth. We’re honored to provide expert care to our vibrant community and are dedicated to helping you maintain a lifetime of healthy, confident smiles. Parking is available at the Park Avenue Parking Garage, and we gladly validate parking for scheduled appointments.
Address
Phone
Office Hours
| Mon – Sat |
7AM – 9PM
|
|
Sun
|
Closed
|